|
|
 |
|
脊骨の病気
|
 |
 |
腰部脊柱管狭窄症
すべり症を起こした腰骨や骨の棘が神経を圧迫する。また加齢現象を来した椎間板や靭帯が分厚くなり神経を圧迫する。以上により腰痛、下肢痛、下肢しびれなどを来す疾患です。神経の圧迫の形態により馬尾神経を圧迫し症状を呈するものを馬尾型、神経根を圧迫し症状を呈するものを神経根型、馬尾神経も神経根も圧迫されて症状を来すものを混合型と分類します。硬膜管内部に馬尾神経が存在します。

神経の圧迫される形態により現れる症状が微妙に異なります。
馬尾神経が圧迫された場合(馬尾型)に出現する典型的な症状として間歇性跛行があります。しばらく歩行をすると下肢のしびれや疼痛や灼熱感等が生じて歩けなくなり、しばらく休息するともとに戻るという症状を呈します。神経根が圧迫された場合(神経根型)は、腰や臀部(おしりの部分)の痛みや、大腿部や下腿部の痛みやしびれを呈します。そのために歩行に障害を来すことが多いですが、立っていると痛い、なかには座っていると痛いこともあります。歩行に障害を来すのは上図の馬尾型、神経根型、混合型いずれの型でも起こりえます。一方、座りで下肢痛が増強するのは、神経根型、混合型を考慮します。
腰、お尻〜太もも〜ふくらはぎまで痛みが出現している患者さんに対し、注意深い問診(歩行 立位 座位 どの姿勢で痛みが増悪するのか)をして、腱反射、筋力テストなどの神経学的評価を行って、腰骨のどの領域に病変があるのか、馬尾型か神経根型か混合型かどのタイプの神経圧迫タイプなのかを推定します。次に画像検査を行います。

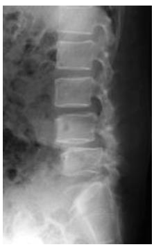
腰骨のレントゲンです。 第4腰椎にすべり症を認めます。おそらく第4腰椎と第5腰椎間で神経の圧迫を来していることは推定できるのですが、実際の神経の圧迫形態は分かりません。

MRIを確認すると第4腰椎と第5腰椎間での馬尾神経の圧迫が明瞭です。
治療は神経の保護目的にコルセットを用いたり、中腰やひねり、重量物挙上を控えたり、鎮痛剤や神経の血流促進剤(プロスタグランジン製剤:PG製剤)を用います。神経根型は腰椎保護と薬物療法が主体となりますが、痛みが強い患者さんにはブロック注射をおこなうことがあります。このような手術以外の治療である保存的治療で効果が得られず、下肢痛による歩行障害、立位保持障害、座位保持障害が強い場合には手術検討となります。 馬尾型はPG製剤内服、腰椎保護が主体となります。PG製剤の効果が現れ、歩行可能距離が延長し、生活の支障が少なければ保存的治療を継続します。PG製剤の効果が乏しく、下肢痛により100〜200m以上の歩行が不能であれば手術検討となります。
以上 概説してきましたように腰部脊柱管狭窄症といっても神経の圧迫形態、それにより現れる症状は異なり、必要となる薬も異なります。症状と神経学的所見、画像所見を総合的に判断しながら、薬治療でよいのか手術を必要とするのかを判断しながら診察と治療を行っていきます。
頚椎症性脊髄症
加齢現象で、首の椎間板(軟骨)が膨隆し、首の靭帯が分厚くなると、それが脊髄を圧迫して手のしびれ、手の巧緻障害(箸がうまく使えない、箸で食べ物をつまみにくい、字が書きにくい、ボタンをうまくはめることが出来ない)や歩行障害(足がつっぱって歩きにくい、足がひっかかりやすい、歩行に杖が必要になる、不安定なために階段の上り下りに手すりが必要)などの脊髄症状が出現することがあります。
精緻な問診と、神経学的所見(腱反射検査、筋力テスト、知覚検査)で問題となる脊髄の障害部位を推察して、その領域に頸椎MRIで脊髄の圧迫所見が存在すれば診断確定となります。一般的に薬は効果が乏しく、脊髄の圧迫を緩める手術が必要になることが多いです。下記に頚椎症性脊髄症の頸椎MRIを示します。膨隆した椎間板や肥厚した靭帯が脊髄を圧迫していることが良く見えます。

脊髄症状に伴い、上図のごとくの脊髄圧迫がある時は、可及的早期に脊椎手術対応可能な病院へご紹介します。
成長期腰椎分離症
成長期腰椎分離症は腰骨の疲労骨折で スポーツを行う小、中、高生に頻度が高い疾患です

病態:
発育期に発生する関節突起間部(上関節突起と下関節突起の間 上図の赤丸の部分)で発生する疲労骨折
発生メカニズム:
腰骨の椎弓に伸展、回旋の負荷が加わることによって、関節突起間部へ伸延力を生じさせる。その繰り返しによって同部位の骨形成は阻害され、骨が吸収されて疲労骨折へと至る。
スポーツの種目:
野球、体操競技、重量挙げ、水泳、サッカー、陸上競技、バレーボールで好発することが報告されていますが、他にも様々なスポーツにおいて発生しています。
発生要因:
@ 腰椎分離症患者の特徴として、腰椎前弯角が健常者より大きいこと(平易に表現すると 腰が反っている状態)が報告されています。
A 身体機能
腰椎分離症アスリートの身体機能の特徴として、ハムストリングや大腿四頭筋の柔軟性低下 腹筋および殿筋の筋力低下が報告されています。
B スポーツ環境
発症2〜3か月前に55%のアスリートにおいて練習内容や練習強度の変化がみられた。具体的には、野球でのスイング数の増加、陸上競技での走行量の増加といった特徴がみられ、腰椎への伸展、回旋動作の頻度が増加していたとの報告があります。
診断:
スポーツを行う成長期の患者さんにおいて2週間以上 腰痛が持続する場合に、腰椎分離症の発生を疑います。また腰椎伸展時痛(腰を反らしたとき痛い)を有することが多く、感度81%、特異度39%と報告されています。
早期診断にはMRIが有用です。
上図MRIでは第5腰椎の椎弓部にT1強調像で黒く、STIR条件では白く変色している部分が疲労骨折の部分です。
MRIで疲労骨折を確認し、成長期腰椎分離症の診断ができたら、つぎにCTで病期の診断をします。
 図に成長期腰椎分離症の分類表を示します。
Ta、Tbは亀裂が椎弓の腹側から背側まで全域に到達しておらず 初期と分類します。
Uは亀裂が椎弓の腹側から背側まで到達しており、骨折面が不整で進行期と分類します。
Vは亀裂が椎弓の腹側から背側まで到達しており、骨折面が硬化しており終末期と分類します。
さらにCTでは亀裂が確認できないものを“超初期”と分類します。
超初期→初期→進行期と 分離症のステージが進行するにつれ骨がくっつく(骨癒合)率が下がり、骨癒合までの運動停止期間も長くなります。
治療:
・硬性コルセットを用い腰部を保護します。
・腰痛が強い間は、短期間くすりを使用することもあります。
・運動を停止します。
もともと成長期で骨の弱さがあるところに 腰を反らしたり回旋する外力が繰り返し加わり疲労骨折が発生しました。この負荷を続けたままでは骨をつけるのは難しいです。
2〜3か月程度、患者さんによってはそれ以上の期間 一時的に運動を停止します。
・リハビリ
ここからが重要ですね。 発生要因Aに述べましたが、体が硬く、運動時に腰骨に反らす刺激を集中させると分離症が発生しやすくなります。とくに大腿四頭筋が硬いと、体を反らした時に、骨盤がうまく後傾しないために腰骨に反らす動作を集中させてしまいます。腰椎関節突起間部に伸延力が加わります。リハビリでは、腰骨を反らしたり、回旋する刺激を加えずに大腿四頭筋、ハムストリング、腰部後方筋群、腸腰筋の硬さを改善するためのストレッチを行います。腰椎分節間での安定性を高めるため(つまり腰骨と腰骨の間で過度な動きを生じさせないようにするため)に腰を反らさぬようにして体幹トレーニングを行います。 腰椎伸展時の痛みが消失し、MRI画像での炎症像が改善してきたらジョギングを開始します。臨床所見の消失と 体幹下肢柔軟性、筋力や筋持久力の向上、動的安定性の獲得、MRIの所見の改善が認められれば運動に復帰します。
終末期では骨癒合が難しいです。したがって骨を癒合させるために長期運動停止をすることはしません。痛みのピーク時は運動制限が必要になりますが、コンディショニングが主体となります。コンディショニングとは分離症の発生要因である体の硬さを改善させること、体幹トレーニングを行い、腰骨を安定化させることです。
|
|
|
|
 |
 |
|
 |